Toothology

Blog

Investing in Perfection: How Long Do Veneers Last & How to Protect Them?

Veneer Lifespan, Care Habits, and How to Protect Your Smile Investment

Reviewed by Dr. Michael Shaffer, with clinical insight into veneer materials, longevity, and maintenance. This article is designed to help patients understand realistic expectations and long-term care considerations for dental veneers.

How long do dental veneers last?

Porcelain veneers typically last 10 -15 years with proper care, though some can last longer. Composite resin veneers usually have a shorter lifespan. Actual longevity varies by case and depends on factors like teeth grinding (bruxism), bite forces, oral hygiene habits, and gum recession. Regular dental checkups, avoiding hard foods, wearing a nightguard if you grind your teeth, and maintaining good oral hygiene can help maximize veneer lifespan.

How Long Do Veneers Last & How to Protect Them

You’ve invested in a beautiful smile. Whether you chose veneers to correct chips, close gaps, brighten discolored teeth, or reshape your smile entirely, you made a significant commitment to your appearance and confidence. Now comes the natural question: how long will they last?

If you’re searching for dental veneers in Brooklyn or already have them and want to protect your investment, understanding realistic lifespan expectations and proper maintenance is important. The good news is that with the right care and habits, porcelain veneers can serve you well for many years. However, certain habits and risk factors can significantly shorten that lifespan.

How Long Do Dental Veneers Actually Last

Veneer lifespan depends heavily on the type of material used and how well you care for them. Here’s what research and clinical experience generally show.

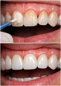
Porcelain veneer transformation

Porcelain Veneers: 10-15 Years (Often Longer with Excellent Care)

Porcelain veneers are the most durable and stain-resistant option. Research and clinical experience commonly suggest a porcelain veneer lifespan of around 10–15 years, and many last longer with excellent care. In ideal cases, some porcelain veneers may last 20+ years, but results vary by person and habits.

With conscientious care, porcelain veneers can be a long-term cosmetic solution.

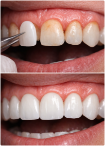
Composite veneer application and results

Composite Veneers: Shorter Lifespan, More Maintenance

Composite resin veneers (sometimes called dental bonding when applied to repair or reshape teeth) typically have a shorter lifespan than porcelain. They are more prone to staining from coffee, tea, red wine, and certain foods, and they can chip more easily. Many composite veneers may need repair, refinishing, or replacement often around 5 –7 years (sometimes longer with meticulous care).

With conscientious care, porcelain veneers can be a long-term cosmetic solution.

What Actually Determines Veneer Lifespan?

Longevity isn’t just about the material. Several clinical and lifestyle factors play a major role in how long veneers last.

  1. Material and Lab Quality
    Porcelain veneers are stronger and more stain-resistant than composite resin. High-quality dental labs that specialize in cosmetic work tend to produce veneers with better fit, color matching, and durability.

  2. Bonding Substrate: Enamel vs. Dentin
    Veneers bond more predictably to enamel than to dentin. When bonded primarily to enamel, the bond tends to be stronger and longer lasting.

  3. Bite Forces and Bruxism (Teeth Grinding)
    Bruxism, is one of the biggest risk factors for veneer damage, so a nightguard is often recommended.

  4. Gum Recession and Margins
    Over time, gums can naturally recede due to aging, aggressive brushing, gum disease, or genetics.

  5. Damaging Habits
    Using your teeth as tools – opening packages, biting nails, chewing on pens, or cracking ice puts unnecessary stress on veneers and can lead to chips or fractures.

Veneer Maintenance Tips: How to Protect

Caring for veneers isn’t complicated, but it does require consistent attention.

Close-up of a custom dental nightguard placed beside a toothbrush and non-abrasive toothpaste on a clean bathroom sink in soft natural light

1. Daily and Weekly Care

  • Brush twice daily with a soft-bristled toothbrush
  • Use non-abrasive fluoride toothpaste
  • Floss daily ,especially at the gum line and veneer margins.
  • Rinse after meals when possible

2. Professional Care

Schedule regular dental cleanings

  • Ask your hygienist to check veneer margins during cleanings
  • Have bite adjustments made if needed

3. If You Grind Your Teeth (Bruxism)

  • Wear a custom night guard as recommended
  • Clean the night guard regularly

4. For Sports and Physical Activities

  • Wear a mouthguard during contact sports or high-impact activities

Foods and Habits That Can Damage Veneers

Veneers are durable, but they’re not immune to damage. Certain foods and habits put them at higher risk.

Don't use your teeth to,

  • Open packages or bottles
  • Bite your nails
  • Chew on pens, pencils, or other objects
  • Crack nuts or tear tags off clothing

Hard foods can chip veneers. Be Careful with very hard foods

  • Ice cubes (never chew ice)
  • Hard candies and lollipops
  • Popcorn kernels (especially unpopped kernels)
  • Very hard crusty bread or pizza crust
  • Bone-in meats where you might accidentally bite bone

Watch Out for Sticky and Chewy Foods

Sticky foods can pull at the edges of veneers and, in some cases, stress the bonding material.

  •   Taffy and caramel
  •   Gummy candies
  •   Chewy granola bars or energy bars

This doesn’t mean you can never enjoy these foods, but moderation and mindfulness matter.

Can Veneers Be Replaced?

Veneer replacement is a normal possibility over time. Whether due to normal wear, chips, changes in gum margins, or simply wanting to update the aesthetics, veneers can be replaced.

What Replacement Involves

  • Evaluating the health of the underlying tooth and surrounding gum tissue
  • Carefully removing the old veneer
  • Planning and fabricating a new veneer
  • Bonding the new restoration in place

Why Patients Choose Replacement

  • Chips, cracks, or visible wear after years of use
  • Gum recession exposing the veneer margin or creating a dark line
  • Staining or discoloration of the margins or adjacent natural teeth
  • Desire to update the color, shape, or size for a refreshed look

 

Replacement is a normal part of the lifecycle of cosmetic dental work. With advances in materials and techniques, replacement veneers often look even better than the originals.

Signs Your Veneers May Need Repair or Replacement

  • Visible Chips, Cracks, or Rough Edges
  • Loose Veneer or Veneer That Fell Off
  • Persistent Sensitivity or Pain
  • Dark Line Near the Gumline or Visible Margins
  • Bite Feels ‘Off’ or Discomfort When Chewing

Protecting Your Veneers in Brooklyn: Local Considerations

Living in Brooklyn comes with its own set of dental challenges. Our fast paced lifestyle, coffee culture, and the stress that often accompanies city living can all impact veneer longevity.

Coffee and Tea Culture

New Yorkers love their coffee. While porcelain veneers resist staining far better than natural teeth, the margins and any remaining natural tooth structure can still discolor over time. If you’re a daily coffee or tea drinker, rinsing with water after your cup and maintaining regular dental cleanings can help keep your smile bright.

Stress-Related Grinding

The stress of city life, demanding jobs, and tight schedules can contribute to teeth grinding and clenching, often without people realizing it. If you wake up with jaw soreness, headaches, or notice wear on your teeth, you may be grinding at night. A custom nightguard is essential for protecting both your veneers and your natural teeth.

A Brooklyn dentist gently reviewing veneer margins and gum health during a routine follow-up appointment in a modern dental office

The Value of Regular Follow-Ups

With busy schedules, it’s easy to skip dental checkups, but regular visits are crucial for veneer maintenance. Your dentist can catch small issues like early gum recession, loose margins, or bite changes before they become bigger problems. Brooklyn dental veneers, like any cosmetic investment, perform best with consistent professional oversight.

Frequently Asked Questions

Porcelain veneers typically last 10-15 years with proper care, though many can last longer. Longevity depends on factors like the quality of the bonding, your oral hygiene, whether you grind your teeth, and your dietary habits. Regular dental checkups and good maintenance can help maximize their lifespan.

Porcelain veneers are highly stain-resistant and don't discolor the way natural teeth do. However, the margins (where the veneer meets the natural tooth) and any exposed natural tooth structure can still stain from coffee, tea, wine, or tobacco.

Porcelain veneers are quite durable, but they can chip if subjected to excessive force or trauma. Biting down on very hard foods (like ice or hard candy), using your teeth as tools, or grinding your teeth without a nightguard increases the risk. .

Use a non - abrasive fluoride toothpaste with a soft-bristled brush. Avoid whitening toothpastes with harsh abrasives, baking soda formulas, or charcoal based products.

Yes, but you'll need to wear a custom nightguard to protect your veneers from grinding damage. Bruxism (teeth grinding) is a major risk factor for chipping, cracking, or debonding veneers.

It depends on the type and extent of damage. Minor chips can sometimes be polished or smoothed. Small cracks or more significant chips often require replacement.

Gum recession can expose the margin (edge) of the veneer, which may appear as a dark line or change in color where the veneer meets the natural tooth. This is often an aesthetic concern rather than a functional problem. In some cases, the veneer may need to be replaced to restore a natural appearance. Maintaining healthy gums through gentle brushing and regular dental care can help minimize recession.

You should have your veneers examined during your regular dental checkups, typically every six months. Your dentist and hygienist will check the margins, look for signs of wear or damage, assess gum health around the veneers, and ensure your bite is still properly aligned. Early detection of issues can prevent more serious problems down the line.